← Înapoi la blog

Albirea dentară: tipuri, diferențe și de ce albirea cu laser oferă cele mai rapide rezultate

Află ce metode există, care sunt diferențele reale și ce rezultate poți obține într-o singură ședință la cabinet.

albire dentara Vaslui Elite BioDental

Înainte de albire, este recomandată o evaluare dentară; pentru costul primei vizite și ce include, vezi secțiunea „Vezi și” de mai jos.

Dacă vrei o vedere de ansamblu asupra tratamentelor estetice disponibile în clinică, poți parcurge pagina de estetică dentară.

De ce se îngălbenesc dinții?

Culoarea dinților se schimbă în timp din mai multe motive. Unele țin de smalț și de ceea ce ajunge pe suprafața lui (pete), iar altele țin de structura internă a dintelui (dentină) și de procese naturale de îmbătrânire.

  • Pigmenți externi: cafea, ceai, vin roșu, tutun, anumite alimente intens colorate.
  • Depuneri: tartru și placă bacteriană pot accentua nuanța gălbuie.
  • Factori interni: smalț mai subțire, dentină mai intens pigmentată, tratamente endodontice (dinți devitali), unele medicamente sau traume.

Înainte de orice albire, evaluarea este importantă: uneori o igienizare profesională poate îmbunătăți aspectul vizibil, iar alteori este nevoie de o metodă de albire sau de o alternativă estetică.

Tipurile de albire dentară — comparație completă

Albirea nu înseamnă o singură procedură. Există metode diferite, cu indicații și limite. Alegerea corectă depinde de motivul colorării, de sensibilitate și de starea generală a dinților și gingiilor.

  • Albire în cabinet: folosește geluri profesionale, controlate medical, cu protecție gingivală; rezultatul este de obicei vizibil rapid.
  • Albire cu gutiere (acasă, la recomandare): se face cu geluri adaptate și gutiere individuale; schimbarea poate fi graduală.
  • Albire internă (dinți devitali): pentru dinții tratați pe canal care s-au închis la culoare; se face cu protocol separat.
  • Produse OTC / benzi: pot avea efect limitat și pot crește riscul de sensibilitate dacă sunt folosite necontrolat.

Dacă ai deja obturații sau coroane vizibile, trebuie știut că nu își schimbă culoarea odată cu albirea. În astfel de situații, planificarea corectă previne diferențele de nuanță.

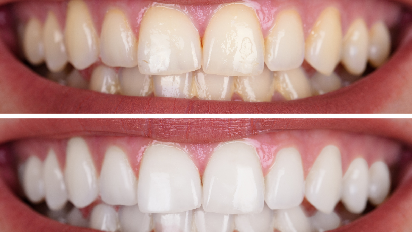
Albirea cu laser — metoda folosită la Elite BioDental

În clinică, folosim albirea cu laser ca metodă de cabinet atunci când este indicată. Scopul este să obținem o schimbare de nuanță într-un timp scurt, cu control bun al procedurii și cu protejarea țesuturilor moi.

Protocolul include, de regulă, evaluare, fotografii de culoare, izolarea corectă a gingiilor și aplicarea gelului, urmată de activarea controlată cu laser. După ședință, primești recomandări pentru menținere.

Pentru o orientare de costuri, poți verifica pagina de tarife.

Vrei dinți mai albi într-o singură ședință?

Programează-te la Elite BioDental Vaslui pentru o evaluare și îți spunem exact ce rezultate poți obține.

Programează-te

Sistemul Schülzer — tehnologia utilizată

Sistemul Schülzer se referă la un protocol și echipamente dedicate pentru albire în cabinet, care urmăresc eficiență și control: izolarea gingivală, aplicarea corectă a gelului și activarea în condiții standardizate.

În practică, cel mai important este ca metoda să fie aleasă corect pentru pacient. De aceea, înainte de albire evaluăm sănătatea gingiilor, eventualele carii, fisuri, retracții sau sensibilități și discutăm istoricul dentar.

Tabel comparativ

Mai jos este o comparație orientativă a metodelor. Nu este un „clasament”, ci un ghid rapid pentru a înțelege diferențele.

Albire în cabinet (laser) Rezultate rapide, control medical, potrivită pentru pacienți care doresc o schimbare vizibilă într-un timp scurt. Sensibilitatea poate apărea temporar la unele persoane.
Albire cu gutiere Rezultat gradual, control bun dacă este făcută la recomandare, utilă pentru menținere sau pentru nuanțe moderate. Necesită consecvență.
Albire internă (dinți devitali) Indicație specifică pentru dinți tratați pe canal care s-au închis la culoare. Necesită evaluare endodontică și protocol separat.
Produse OTC (benzi/geluri) Efect variabil și adesea limitat. Pot crește riscul de sensibilitate sau iritații dacă sunt folosite necorespunzător.

Contraindicații

Albirea nu este potrivită în orice situație. În general, amânăm sau adaptăm procedura dacă există:

  • carii netratate sau obturații infiltrate;
  • inflamație gingivală sau boală parodontală necontrolată;
  • hipersensibilitate severă sau retracții gingivale importante;
  • fisuri sau uzură accentuată;
  • restaurări extinse în zona vizibilă (necesită plan estetic coordonat).

De aceea, evaluarea inițială este esențială. Pentru un plan estetic aliniat cu situația ta clinică, putem discuta opțiunile fără grabă, după examinare.

Durata rezultatelor

Durata rezultatelor diferă de la persoană la persoană. Factorii principali sunt obiceiurile (cafea/ceai/fumat), igienizarea, predispoziția la colorări și regularitatea detartrajului profesional.

În general, recomandăm:

  • igienizare profesională periodică;
  • periaj corect și produse potrivite pentru sensibilitate, dacă este cazul;
  • moderație cu alimentele pigmentate imediat după procedură;
  • o strategie de menținere (de exemplu, gutiere) dacă este indicată.

Vezi și

Întrebări frecvente

Albirea cu laser doare?

În mod obișnuit, procedura este bine tolerată. Unele persoane pot resimți sensibilitate temporară în timpul sau după ședință, mai ales dacă există retracție gingivală sau smalț sensibil. În cabinet adaptăm protocolul și îți explicăm la ce să te aștepți.

Câte nuanțe se pot obține după o ședință?

Rezultatul variază în funcție de culoarea inițială, tipul petelor și particularitățile smalțului. La evaluare îți spunem realist ce schimbare este probabilă și dacă e nevoie de o a doua ședință sau de o alternativă (de exemplu, fațete în cazuri specifice).

De ce uneori dinții se albesc neuniform?

Nuanța poate fi influențată de obturații vechi, zone de smalț mai subțire, pete intrinseci sau diferențe între dinți vitali și devitali. Înainte de albire verificăm aceste aspecte și îți explicăm cum se poate obține un aspect cât mai uniform.

După albire pot mânca orice?

În primele 24–48 de ore recomandăm prudență cu alimentele și băuturile intens colorate (cafea, ceai negru, vin roșu, sosuri pigmentate) și cu fumatul, deoarece smalțul poate fi mai receptiv la pigmenți. Primești recomandări clare după ședință.

Albirea schimbă culoarea plombelor sau coroanelor?

Nu. Agenții de albire acționează pe structura dentară (smalț/dentină), dar nu modifică nuanța compozitului, ceramicii sau zirconului. Dacă există restaurări vizibile, putem discuta adaptarea lor după stabilizarea culorii.

Cât timp țin rezultatele?

Durata rezultatelor depinde de obiceiuri (cafea, ceai, fumat), igienă, detartraj periodic și predispoziția la colorări. Pentru multe persoane, rezultatele se mențin bine dacă respectă recomandările și fac igienizări regulate.

Programează-te

Dacă vrei să afli ce metodă ți se potrivește și ce rezultat este realist pentru cazul tău, te așteptăm la evaluare. Cel mai simplu este să folosești pagina „programează-te”.